Cabinet dentaire des Drs Begouin et Crochet
Cabinet dentaire des Drs Begouin et Crochet
PRATIQUE LIMITÉE AUX ACTES D'ORTHODONTIE À SAINT-MARTIN-D'URIAGE

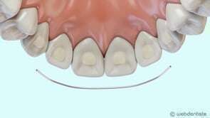
Fil de contention


video-play-icon

Articles similaires

Création par Webdentiste

Connexion